永利皇宫登录官网教授李大力、刘明耀团队联合临港实验室青年研究员陈亮团队,开发出高性能线粒体腺嘌呤碱基编辑器(eTd-mtABEs),并利用eTd-mtABEs成功构建了感音神经性耳聋和Leigh综合症大鼠疾病模型。此外,团队使用重新改造的DdCBE变体,首次实现线粒体致病突变的体内原位纠正,成功逆转了leigh综合征的疾病表型。
6月3日,两篇研究论文均发表于《自然-生物技术》,期刊同期发表“新闻与观点(News & Views)”“社论(Editorial)”评价这两项工作。
“这两项研究不仅再次引发学界对于早期TALE 基因编辑技术的关注,也标志着线粒体基因组碱基编辑领域迎来了令人振奋的突破。”德国汉诺威莱布尼茨大学教授延斯·博赫(Jens Boch)如是评价道。
全球1/5000的人群受影响
线粒体是一种存在于大多数真核细胞中的细胞器,扮演着“能量工厂”的角色。同时,线粒体拥有遗传物质(mtDNA)和遗传体系,当mtDNA发生突变时,会引起多种严重的遗传性疾病,如Leber遗传性视神经病变(LHON)、线粒体脑肌病伴乳酸酸中毒和卒中样发作(MELAS)以及Leigh综合征等。
长期以来,线粒体疾病的治疗一直是医学领域内亟待攻克的难题,传统药物治疗价格昂贵,只缓解线粒体疾病所带来的部分症状,无法根治疾病,并且可能会带来极强的副作用。“全球平均每5000人中就有1人受有害mtDNA突变影响,其中约95%是点突变,这些疾病可累及全身多个器官,症状严重且难以治愈。”李大力告诉《中国科学报》。
随着基因编辑技术的快速发展,学界也开发了系列工具,以期精确“修补”线粒体基因组的突变位点,从源头上治愈疾病。如CRISPR/Cas技术衍生的碱基编辑器,已成功用于治疗由细胞核DNA(nDNA)点突变引起的疾病,但由于线粒体基因组结构的特殊性,该技术难以用于修改mtDNA。
近年来,科学家们开发了DdCBE、TALEDs等线粒体碱基编辑器,理论上能靶向约86%的致病mtDNA点突变。然而,线粒体疾病的发生通常需要突变比例超过一定“阈值”,受限于编辑效率和精度等瓶颈,现有线粒体碱基编辑器难以构建出含有高频突变,且表现出临床表型的线粒体基因突变动物模型,更难以实现有效的疾病治疗。
高效构建疾病模型
“宝贵的mtDNA疾病动物模型和高精度线粒体基因编辑器是线粒体基础研究和基因治疗的重要技术支撑。”李大力指出。
在第一项研究工作中,研究团队经过分析和实验推测,腺嘌呤脱氨酶TadA-8e的活性是决定线粒体基因组中腺嘌呤(A)编辑为鸟嘌呤(G)性能的关键因素之一。
为此,研究团队对TadA-8e进行了改造,并筛选出活性显著增强的变体,这些变体在nDNA编辑中展现出显著优势,为开发出高性能的线粒体A碱基编辑工具提供可能性。进一步地,研究团队将高活性TadA变体引入分裂型TALEDs(sTALEDs)中,从而获得了eTd-mtABEs。

eTd-mtABEs结构示意图。
研究结果表明,eTd-mtABEs在线粒体多个内源位点的编辑效率比sTALEDs平均提高了约6.9倍,尤其在原先难以编辑的位点提升更为显著,同时保持了较低的DNA和RNA脱靶风险。此外,eTd-mtABEs在大鼠细胞系中实现了高达145倍的效率提升。
此外,研究团队基于eTd-mtABEs构建了全球首例遗传稳定的Leigh综合征及感音神经性耳聋大鼠模型。
陈亮表示:“eTd-mtABEs作为超高活性、低脱靶的新型线粒体碱基编辑器,为快速构建更接近人类疾病的线粒体病动物模型提供了强大工具,将极大推动对线粒体功能和疾病机制的深入研究。”
首次在体内原位纠正致病突变
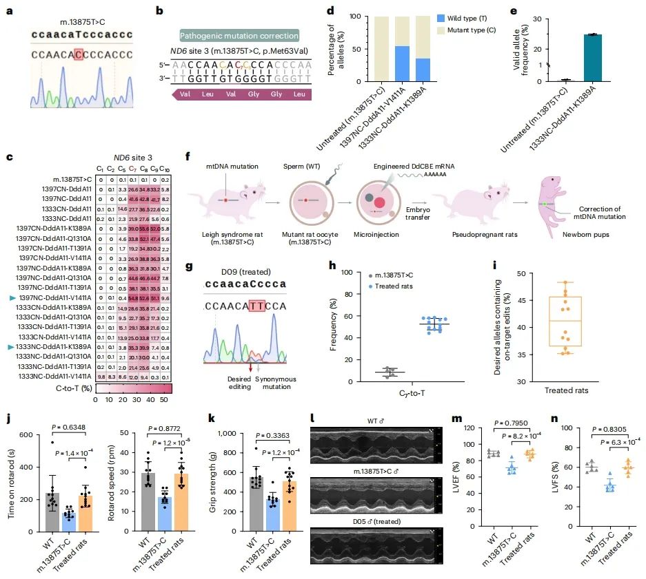
“在第二篇论文中,我们利用前一篇工作开发的线粒体腺嘌呤编辑器eTd-mtABE-RW/V28A,在大鼠体内高效且精准的引入了Leigh综合征相关的致病性点突变。”李大力介绍,49只出生大鼠均携带近乎单个的致病性T>C编辑,平均效率高达54%,并且mtDNA点突变可以高效稳定的遗传。此外,表型实验揭示了Leigh综合征大鼠产生明显的运动功能障碍和心脏功能受损,证实团队成功建立了Leigh综合征大鼠模型。
为了精准纠正致病点突变,研究人员工程化设计并改造出60个DdCBE变体,最终获得大幅降低“旁观者编辑”的1333NC-DddA11-K1389A变体。
通过将最优的DdCBE变体注射到近乎纯合突变的大鼠受精卵中,实现了平均高达53%的野生型mtDNA恢复,高效精准的体内编辑使得Leigh综合征大鼠模型的肌肉和心脏功能改善至野生型大鼠水平。
进一步地,研究人员将最优的DdCBE变体注射到近乎纯合突变的Leigh综合征大鼠模型的受精卵中。结果显示,平均53%的致病mtDNA被成功纠正回正常状态,且高效精准的体内编辑使得Leigh综合征大鼠模型的肌肉和心脏功能改善至野生型大鼠水平。
“这是国际上首次在活体动物中实现mtDNA致病点突变的原位纠正,为后续线粒体基因编辑器用于线粒体遗传性疾病的基因治疗研究提供了范式,极具有里程碑意义。”陈亮说到。

基于改造的DdCBE实现体内原位纠正mtDNA致病性突变。图片均由受访者提供
李大力同时指出:“这两项工作涵盖了编辑器改造、动物模型制备、概念性完成线粒体致病突变原位修复以及纠正疾病表型,整个工作完整度、完成度都非常高。”
刘明耀也表示:“我们在开发新型线粒体基因编辑工具、原位精准纠正线粒体致病突变方面实现双突破,为根治线粒体遗传病提供了革命性技术路径。未来我们将基于该项技术进行产品升级开发,为广大患者造福。”
相关论文信息:
https://www.nature.com/articles/s41587-025-02685-x
https://www.nature.com/articles/s41587-025-02684-y
阅读原文
记者丨江庆龄
来源丨科学网客户端
编辑丨王越月
编审丨戴琪